<清水おかべクリニック>
<トップへ>
|
|
昨年、恥ずかしながら当時2歳になったばかりの息子がボタン電池を飲み込む、という家庭内騒動がありました。半分は笑い話、でも幾ばくかは皆さんの参考になる事もあろうかと思い、顛末を記させて頂きます。
夜、診療を終えて家に電話をした所、妻が息子の事でちょっと心配な事があるとの話。夕方5時頃、家事をしていた妻がふと息子の方を見ると、何か口にくわえてモゴモゴしていた。妻が口の中をあらためると、中からボタン電池が一個出てきた。他に飲み込んでいないかどうか心配・・・と。
急いで帰宅し、その電池とやらを確認してみました。
よくある小型のボタン電池です。何かの景品で貰った小型のブックライトを同時にいじっていたそうなので、その中から出てきた物のよう。そのブックライトはクローゼットの中にしまっていて、幼児が開けられないようなロックが二重にかけてあったのですが、どうやらそれらを突破して取り出したもののようです。親としては複雑な思いです。
そのブックライトを見てみると電池ボックスが開いていて、その中には合計3個のボタン電池が入るスペースがあるのですが、全くの空。口の中から出てきたのは1個。あとの2つは・・・?
家の中を一通り探してみましたが、他の電池は出てこない。これは怪しい。
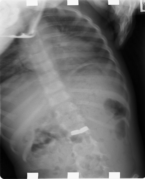
再び医院にとって返し、騒ぐ息子を無理矢理押さえつけて腹部のレントゲン写真を撮ってみました。
副鼻腔撮影用の条件設定なのでややフォーカスが甘いですが、どうやら胃の中に電池がありそうです。しかも2個。
子供の異物飲み込み自体は私にも診療経験がありますが、ボタン電池の例は初めて。医学の教科書的には、ボタン電池の場合は胃酸で電池が腐食した際の内容物の漏出・電池からの放電をきっかけとした胃・腸管粘膜の穿孔等の可能性が考えられ、危険度が高いので速やかに摘出すべし、となっています。これはマズイ。
以前私が勤務医であった時に、100円玉を飲み込んだ子供さんの治療をした時の事を思い出しました。レントゲンにて食道上部に硬貨像があったので、全身麻酔下に食道鏡という器具を口から入れて取り出しました。その後患児は病院に一泊入院もしました。
今回も一開業医の手に負える事態では無さそうです。
夜中ではありましたが、病院の救急外来に急遽受診。そちらでも改めてレントゲンを撮った所、やはりくっきりと電池の陰が確認されました。
先生方の間でいろいろディスカッションをして頂いたあげく、これはやはり今日中に電池を取り除いておいた方が良いだろう、という話になり、県立こども病院に御紹介いただく事となりました。
全身麻酔下の処置・一泊入院になるかもしれない・・・覚悟を決めて、こども病院の方に向かいました。
こども病院の先生は、やはりこういった事態には慣れてらっしゃいました。ドクターお二人が息子と共に処置室に消えて約10分。帰ってきた時には無事に二つのボタン電池摘出済みでした。特別な麻酔等をかけることなく、『マグネットカテーテル』という、こういった事態を想定して作られた器具を口から入れて引っ張り出してくれたのです。硬貨とは違って、磁石で取り出しうるボタン電池であった事が、幸いしたようです。もっと大事になることを予想していた私としては、嬉しい誤算でした。
取り出した電池の表面が早くも胃酸で少し腐食していたのを見て、ゾッとしました。
本当に早く取り出せて良かったです。
しかし、普段こういった異物に対応すべき耳鼻咽喉科の医師である私が、身内にこのような事態を起こしてしまった事は、まさに医者の不養生、お恥ずかしい限りです。私の例を反面教師として、小さい子のいらっしゃるご家庭では、危険物は子供の手の届かない場所に厳重に保管されますよう、お気を付け下さい。
最後に、静岡県立総合病院並びに静岡県立こども病院の皆様、ありがとうございました。
<診療日記に戻る>
|
|
|
|
|
 |
 |